Dampak Buruk Gigi Gingsul yang Perlu Diwaspadai, Tak Selalu Menarik
Gigi gingsul seringkali dianggap sebagai suatu daya tarik estetika, namun di balik senyum manis yang ia ciptakan, tersembunyi potensi masalah yang serius.
Dampak buruk gigi gingsul adalah kondisi yang harus diwaspadai.
Dampak Buruk Gigi Gingsul yang Perlu Diwaspadai, Tak Selalu Menarik
Gigi gingsul seringkali dianggap sebagai tanda keberuntungan atau daya tarik estetika, namun di balik senyum manis yang ia ciptakan, tersembunyi potensi masalah kesehatan yang serius. Dalam artikel ini, kita akan menjelaskan apa saja dampak buruk gigi gingsul yang mungkin timbul dari kondisi ini.Dari gangguan fungsi mengunyah hingga masalah psikologis, gigi gingsul bukan sekadar masalah estetika, melainkan sebuah kondisi kesehatan yang memerlukan perhatian.
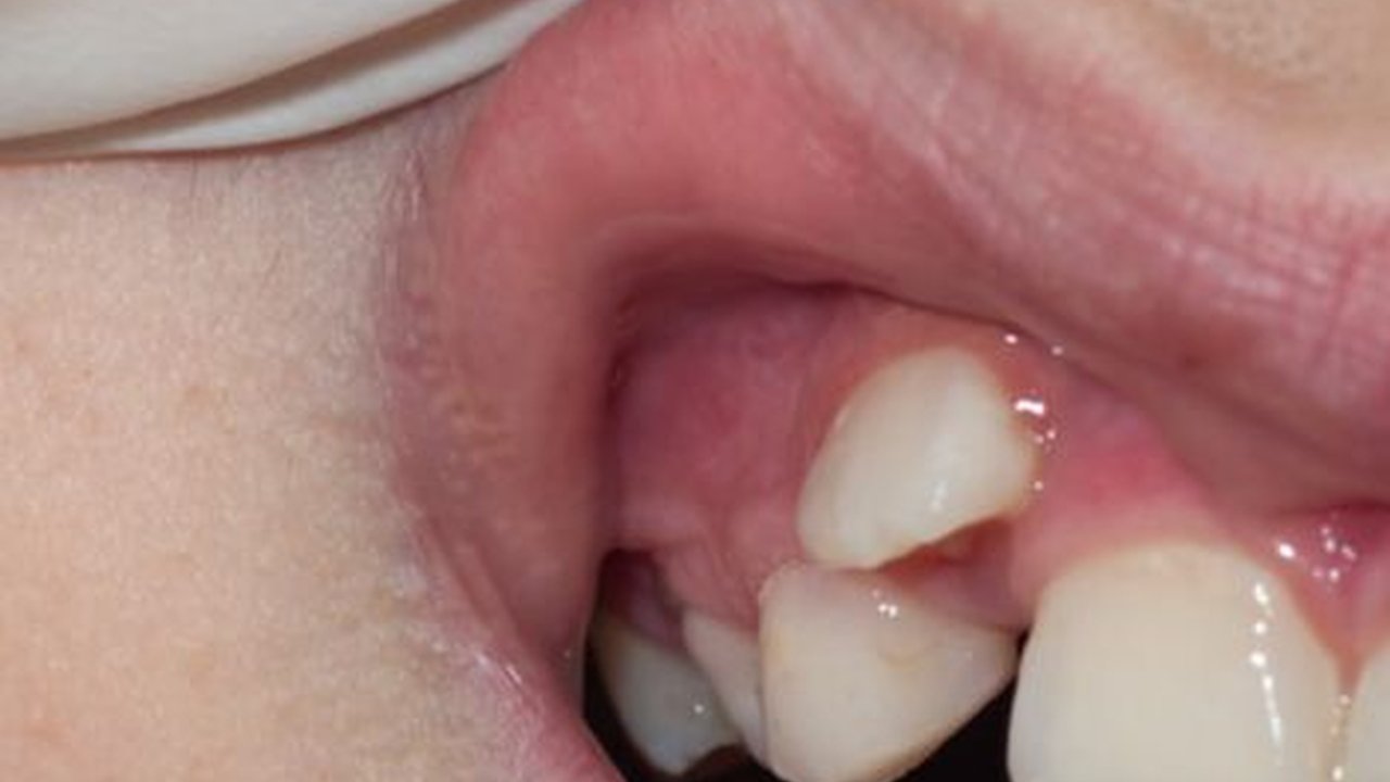
Dampak Buruk Gigi Gingsul
Gigi gingsul, yang sering dianggap sebagai ciri khas yang menarik, ternyata juga dapat memberikan beberapa dampak negatif terhadap kesehatan mulut dan gigi. Berikut adalah penjelasan panjang mengenai dampak buruk dari gigi gingsul:
- Kesulitan Berbicara, Menggigit, dan Mengunyah: Gigi gingsul dapat menyebabkan kesulitan dalam berbicara dengan jelas, serta menggigit dan mengunyah makanan dengan benar. Ini terjadi karena posisi gigi yang tidak sejajar dengan gigi lainnya, yang dapat mengganggu mekanisme normal dari fungsi-fungsi tersebut.
- Luka pada Bagian Lunak Mulut: Gigi yang tumbuh tidak pada tempatnya dapat menyebabkan luka pada bagian lunak rongga mulut, seperti bibir dan lidah. Ini bisa terjadi ketika gigi yang menonjol menggesek atau menggigit bagian-bagian tersebut secara tidak sengaja.
- Kerusakan Gigi: Gigi gingsul sering kali sulit dibersihkan dengan baik karena posisinya yang tidak normal. Hal ini dapat meningkatkan risiko terjadinya kerusakan gigi, seperti gigi berlubang dan penyakit gusi.
- Nyeri dan Kejang Otot Rahang: Karena gigi gingsul bisa menyebabkan maloklusi atau ketidaksejajaran gigi, hal ini dapat menimbulkan nyeri dan kejang pada otot-otot di sekitar persendian rahang. Maloklusi juga dapat menyebabkan masalah pada sendi rahang itu sendiri, yang dikenal sebagai Temporomandibular Joint Disorder (TMJ).
- Impaksi Gigi: Gigi gingsul dapat menyebabkan impaksi, yaitu kondisi di mana gigi tidak tumbuh dan berkembang dengan baik. Gigi yang terimpaksi dapat menimbulkan rasa sakit yang signifikan dan memerlukan perawatan khusus.
- Masalah Estetika: Meskipun beberapa orang mungkin merasa gigi gingsul menambah daya tarik senyuman, ada juga yang merasa bahwa kondisi ini merusak penampilan mereka. Ini bisa berdampak pada kepercayaan diri dan cara seseorang berinteraksi sosial.
- Perawatan Tambahan: Gigi gingsul sering memerlukan perawatan tambahan, seperti penggunaan kawat gigi, retainer, atau bahkan pencabutan, untuk memperbaiki posisi gigi dan menghindari dampak negatif lainnya.
Penyebab Gigi Gingsul
Penyebab gigi gingsul bisa bervariasi, dan berikut adalah penjelasan panjang mengenai beberapa faktor yang dapat menyebabkan kondisi ini:
- Faktor Genetik atau Keturunan: Penelitian menunjukkan bahwa faktor genetik bisa menjadi penyebab utama gigi gingsul. Jika orang tua memiliki gigi yang tidak sejajar, risiko untuk memiliki gigi gingsul meningkat.
- Gangguan Gigi dan Rahang: Gigi gingsul sering terjadi karena gigi susu tanggal lebih awal atau prematur, yang tidak memberikan cukup ruang untuk gigi permanen yang akan tumbuh nantinya, sehingga gigi taring pun tumbuh berjejal.
- Riwayat Penyakit Gigi dan Mulut: Kesehatan gigi dan mulut yang kurang terjaga dengan baik dapat meningkatkan risiko gangguan pada rongga mulut, termasuk gigi gingsul. Penyakit seperti gigi ompong, radang gusi (gingivitis), dan infeksi gusi (periodontitis) dapat meningkatkan risiko ini.
- Letak Benih Gigi: Letak benih dari gigi tetap yang kurang benar atau tidak pas dengan jaringan tulang gigi dapat menyebabkan gigi menumpuk, meskipun kondisi ini cukup langka.
- Trauma pada Gigi Susu: Trauma pada gigi susu, seperti benturan atau kecelakaan, dapat menyebabkan gigi tetap tumbuh gingsul karena adanya perubahan sifat ankilosis pada akar gigi sulung yang menghambat resorpsi akar.
- Ruang yang Kurang: Saat masa pertumbuhan gigi, jika ruang antara satu gigi dengan gigi lainnya terbatas dan kecil, maka gigi baru tidak mendapat ruang yang cukup untuk tumbuh sejajar, sehingga gigi baru akan menumpuk.
- Ukuran Gigi yang Besar: Beberapa orang memiliki gigi yang besar-besar dan bentuk yang kurang serasi, yang dapat memicu gigi gingsul karena saat gigi yang tumbuh terlalu besar, gigi baru tidak memiliki tempat yang cukup.
- Pencabutan Gigi Susu yang Terlalu Cepat: Pencabutan gigi susu yang terlalu cepat dapat menyebabkan gigi gingsul karena gigi tetap yang menggantikan gigi susu tidak memiliki cukup ruang untuk tumbuh.
- Persistensi Gigi Susu: Gigi gingsul juga bisa disebabkan oleh persistensi, yaitu belum tanggalnya gigi susu atau keterlambatan dalam pencabutan, yang menyebabkan gigi tetap tumbuh sebagai pengganti gigi susu.
Cara Mencegah Gigi Gingsul
Untuk mencegah gigi gingsul, ada beberapa langkah yang bisa diambil, baik untuk mengurangi risiko terjadinya atau untuk mengatasi awal munculnya kondisi ini. Berikut adalah penjelasan panjang tentang cara-cara pencegahan gigi gingsul:
- Menjaga Kebersihan Mulut: Rutin menyikat gigi dua kali sehari dan menggunakan benang gigi untuk membersihkan sela-sela gigi.
- Kontrol ke Dokter Gigi: Melakukan pemeriksaan gigi secara berkala untuk mendeteksi masalah dini.
- Hindari Kebiasaan Buruk: Menghindari kebiasaan seperti mengisap jempol atau menggigit benda keras yang dapat memengaruhi pertumbuhan gigi.
- Nutrisi yang Baik: Mengonsumsi makanan yang kaya akan kalsium dan vitamin D untuk mendukung pertumbuhan gigi yang sehat.
- Penggunaan Kawat Gigi: Jika ada indikasi gigi yang mulai tumbuh tidak teratur, kawat gigi dapat membantu merapikan barisan gigi.
- Perawatan Gigi Susu: Memastikan gigi susu tidak dicabut terlalu dini agar gigi permanen tumbuh pada tempat yang tepat.
- Penggunaan Pelindung Mulut: Untuk anak-anak yang aktif dalam olahraga, pelindung mulut dapat melindungi gigi dari cedera.
- Konsultasi dengan Spesialis Ortodonti: Mendapatkan saran dari spesialis ortodonti jika ada risiko gigi gingsul.